今日の午前は外来でした。
昨年8月ごろから腰痛を発症して、11月に初診した16歳の野球少年が来院しました。
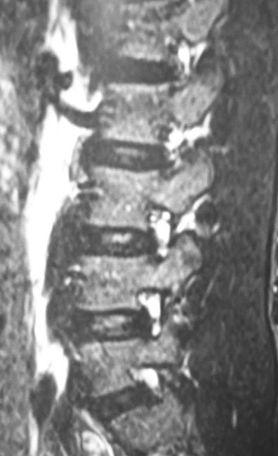
11月の初診時には、単純X線像・CT像とも明らかな異常所見を認めませんでした。しかし慢性腰痛が気持ち悪かったのでMRIを施行したところ、L4の左椎弓に分離症の所見を認めました。

その後、ダーメンコルセットを作成して3ヶ月間常用とした上で、野球・スポーツ・体育の授業を完全に禁止しました。2ヵ月ぐらいしてから痛みが軽快し、本日腰椎MRIで最終確認を行いました。

11月のMRIでは高輝度だった左椎弓が、本日のMRIでは正常な輝度になっていることがはっきり分かります。めでたく、本日でダーメンコルセットを除去してスポーツ復帰を許可しました。
通常、単純X線像やCTで腰椎分離症の診断・治療を行うことが多いと思いますが、MRIの方が感度が高くて早期治療や治癒の判定には有効だと思います。
CTだと骨折の有無や骨癒合の判定がなかなか難しいことが多い印象です。分離症はそれほど数が多くないし患者さんも若いので、MRIを施行しても過剰医療に該当するとは思いません。
それに若年者に対するCTでの被爆量のことを考えると、あっさりとMRIで診断・治療を行う方が患者さんのためになるし、より合理的なのかなと思います。
★★★ 管理人 お勧めの医学書 ★★★
豊富な図や画像が提示されているため、ほとんどの骨折や脱臼に対応することが可能です
救急・当直で必ず役立つ!骨折の画像診断








