先日、起床時からの急性発症の右殿部痛の方が救急受診されました。
安静時痛は無いのですが、体動時に激痛を訴えます。
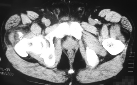
熱発や股関節の伸展制限はありませんでした。圧痛点が大転子の前方にあったのでCTを施行したところ、大転子部の高位の大腿骨前面に石灰化を認めました。
良く見ると中殿筋の腫脹も認めます。血液生化学データはWBC 12000, CRP 6.3と炎症所見の亢進を認めました。ただ、疼痛はかなりきついものの、ご本人に重篤感はありません。
これらを総合的に考えて、感染性疾患ではなく石灰沈着性腱炎である可能性が高いと判断しました。それであれば、安静のみで経過観察となります。
石灰沈着性腱炎は全身のいたるところに発症します。しかし、まさか中殿筋停止部にまで発生するとは思いませんでした・・・。臨床は奥が深いですね。
★★★ 管理人 お勧めの医学書 ★★★
初学者が関節リウマチの治療体系を俯瞰するにあたり、最もお勧めの書籍です
関節リウマチ治療実践バイブル










