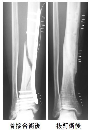
先日、脛骨遠位部骨折に対する抜釘術を施行しました。
初回手術は骨端が閉鎖していなかったため、髄内釘ではなくロッキングプレートを選択しました。

脛骨遠位1/3での骨折であったため、可能なかぎり軟部組織への侵襲を少なくする必要があります。そこで、骨折部は展開せずにMIPOの手技で骨接合を行いました。
MIPOは、髄内釘や通常のプレート固定と比較してやや難易度が高いですが、軟部組織温存による骨癒合での優位性を考えると症例を選んで積極的に施行するべきだと思います。
今回の症例でも脛骨遠位1/3での第3骨片を伴う分節型骨折でしたが、特に問題なく骨癒合を獲得することができました。
しかし、抜釘術の段階で少しつまずきました。ある程度予想はしていましたが、骨折部でプレート周囲表面が新生骨に覆われてしまったため、追加で新しい皮膚切開が必要になったのです。
骨癒合を得ることが最大の目的なので抜釘術時の追加皮膚切開はある程度仕方無いですが、主治医としてはちょっと複雑な心境になりました。
★★★ 管理人 お勧めの医学書 ★★★
整形外科医なら誰もが所有している骨折治療のバイブルです。豊富な図や画像が提示されており、骨折手術におけるAOの考え方や基本原則を学べます。









このように長いプレートでrelative stabilityで骨接合した抜釘はかなり大変ですよね。
また、ひとつ質問ですが、脛骨遠位、大腿骨遠位など、荷重部のスクリュー抜釘はかなり緊張します。
抜けない場合、ネジ穴を壊してしまう場合。
何か対策などあれば教えて頂きたいです。