先日、鎖骨の偽関節手術がありました。
単なる鎖骨骨折の手術と異なり、偽関節手術は気を遣います。
まず基本にしたがって、偽関節周囲は骨膜に皮質骨をつけながら、ノミで鎖骨本体を展開します。よく切れるノミでないと、皮質骨付きで骨膜をきれいに剥離できません。
偽関節部には、ある程度の仮骨形成を認めるため、新鮮骨折のように骨折部(偽関節部)がぴったり合うことはありません。できるだけ接触面積を広くするように断端を形成します。
今回もかなり偽関節部の骨を切除して断端を形成しましたが、それでも少し間隙があるように見えます。この骨端の形成作業が難しいです。
次に、偽関節周囲に大量の自家骨移植を行います。これでもか! というほどてんこ盛りのすることがポイントです。
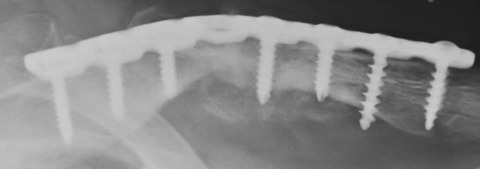
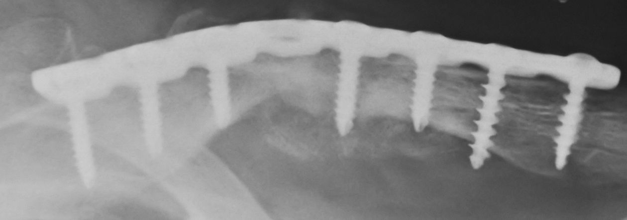
術後の単純X線像でも、偽関節部の全周性に移植骨が存在することを確認できます。ちょっとやり過ぎではと思うぐらいで充分だと思います。
毎回思うのですが、偽関節手術は気を遣うし手技も煩雑です。ちょっとオーバーインディケーション気味ですが、新鮮鎖骨骨幹部骨折も手術をする方向に趣旨変えしようかな・・・
★★★ 管理人 お勧めの医学書 ★★★
整形外科医なら誰もが所有している骨折治療のバイブルです。豊富な図や画像が提示されており、骨折手術におけるAOの考え方や基本原則を学べます。











