腱板損傷後の脂肪変性をご存知でしょうか?
恥ずかしながら、最近まで私は全く知りませんでした(笑)。
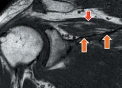
脂肪変性とは、腱板損傷をおこした筋肉内に起こる変化です。腱板損傷によって機能の低下した筋肉内に脂肪細胞が浸潤することで脂肪変性が発生します。
脂肪変性を併発しているということは、腱板筋の弾力性や機能が低下していることの証左になるので、腱板再建術を施行しても再断裂する可能性が高くなります。
腱板再建術後の再断裂を予測する目的で、GoutallierらはCT画像を使用して脂肪変性を5段階に分類しました。今では、CTよりもMRIの分類に置き換わっています。
腱板損傷後の脂肪変性併発率は30~70%とバラツキがあり、腱板損傷後3ヵ月以降に画像上で認められることが多くなります。
肩関節外科医にお伺いすると、腱板再建術に際して棘上筋や棘下筋内の脂肪変性を重視しているとのことでした。う~ん、なるほど勉強になります。
★★★ 管理人 お勧めの医学書 ★★★









