先日、2週間前から手関節が腫れて痛むという70歳台の患者さんが初診されました。診察すると、手関節が少し腫脹しています。外傷歴が無いので、手関節水腫だと思いました。
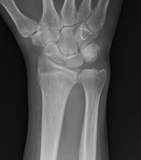
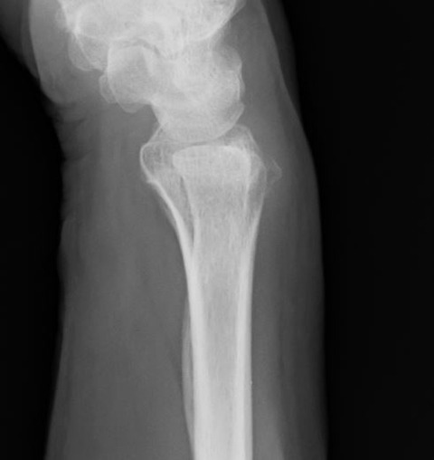
しかし、単純X線像をみると、何となく普通ではありません。??? と思って、側面像を見ると、橈骨遠位端背側の皮質骨が変な感じです。
これって、骨折ではないのか? ご本人に何度も念押ししましたが、やはり転倒等のエピソードはないとのことです。受け答えはしっかりしており、認知症でもなそうです。
念のためにMRIを撮像すると、やはり橈骨遠位端骨折のようです。圧痛点も関節ではなく、橈骨遠位端なので、画像と身体所見が一致しました。
それにしても非荷重肢である橈骨遠位端に不顕性骨折というものが存在するのか? 医中誌で検索すると、数は少ないものの、ある程度まとまった報告がありました。
- 当院における橈骨遠位端不顕性骨折(occult fracture)の検討
- Author:森川 圭造(森川整形外科医院)
- Source:骨折(0287-2285)38巻1号 Page22-25(2016.02)
なるほど、小児と高齢者では機転が異なるようですが、非荷重肢であるものの橈骨遠位端にも不顕性骨折は存在するようです。いや~勉強になりました。
★★★ 管理人 お勧めの医学書 ★★★
豊富な図や画像が提示されているため、ほとんどの骨折や脱臼に対応することが可能です











