先日、足関節捻挫の患者さんが初診されました。
外果から足部にかけて、かなりの腫脹がありました。

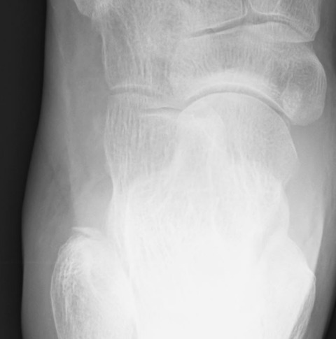
圧痛の最強点は足関節外側靱帯部およびリスフラン関節部のようです。さしあたって単純X線像を確認しましたが、明らかな異常所見を認めませんでした。

リスフラン関節部にも明らかな骨折はなさそうです。靱帯損傷なんだろうな~と思っていると、足部正面像で腓骨遠位端に裂離骨折がうつっているではありませんか!
なるほど、足関節外果部の圧痛はコレだな。。。実はこのようなことは今回が初めてではありません。何度か足部正面像で腓骨遠位端の裂離骨折をみつけたことがあります。
おそらく踵腓靭帯性裂離骨折であれば、足関節正面像でも分かると思いますが、前距腓靭帯性裂離骨折は足関節正面像では分かりにくいのでしょう。
ルーチンで足部正面像を撮像する必要は無いと思いますが、足部捻挫と紛らわしくて撮像する際には、腓骨遠位端も確認した方が良いと思います。
★★★ 管理人 お勧めの医学書 ★★★
豊富な図や画像が提示されているため、ほとんどの骨折や脱臼に対応することが可能です










一方、エコーだとレ線像で見えなかった前距腓靭帯や二分靭帯の裂離骨折を認めることが多々あります(逆にエコーはらせん骨折などはやや不得意です)。
将来的には大病院の外来でも整形外科エコーが普及するのではないかと感じています。