先日、少し難しい人工股関節全置換術(THA)がありました。
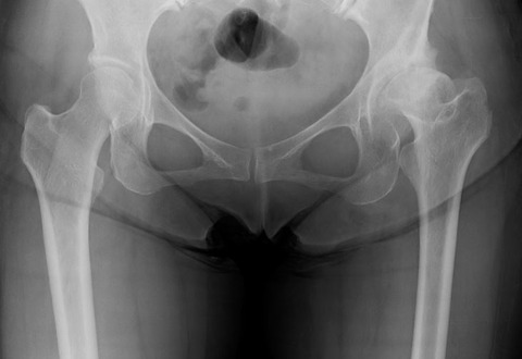
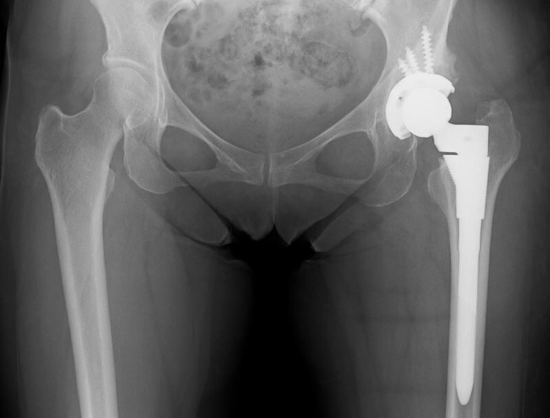
単純X線像ではたいしたことない症例に見えます。かなり小柄な方だったので、通常のインプラントで対応できるか確認する必要があるぐらいしか問題点を思いつきませんでした。
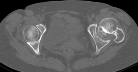
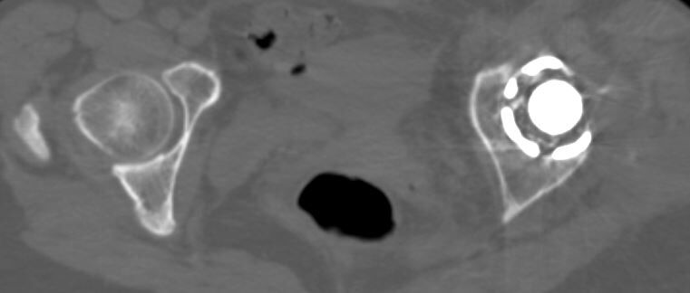
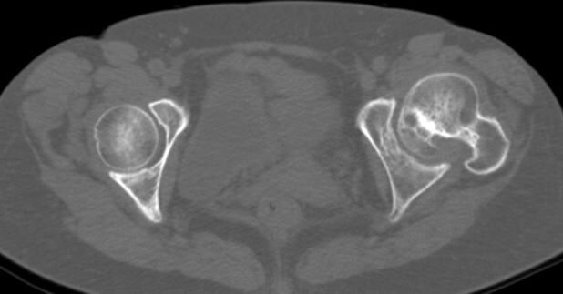
しかし、術前CTで寛骨臼の前方開角が45度、大腿骨頚部前捻角が40度でした...。大腿骨頚部前捻角はまだしも、寛骨臼前方開角は看過できません。
このままの角度でカップを設置すると前方脱臼する可能性があります。しかし、前方開角を減じるとカップ前方で腸腰筋との Irritationを併発して股関節痛を残す原因となりそうです。
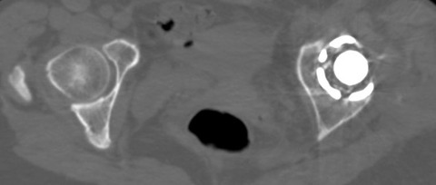
かなり検討したのですが、結局カップの前方開角度は通常の症例と同様に20度に減捻して、腸腰筋の Irritationにはある程度目をつぶることしました。
大腿骨にも過大前捻があり、関節不安定性がどうなるのか予測できなかったため、S-ROM-Aでこちらも20度減捻しました。
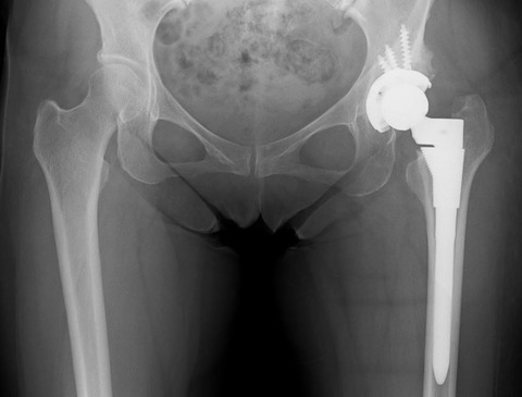
寛骨臼、大腿骨頚部とも大幅に角度調整したのですが、幸いにも易脱臼性はありませんでした。こういう症例は疲れますね...。
★★★ 管理人 お勧めの医学書 ★★★
初学者がTHAの治療体系を俯瞰するにあたり、最もお勧めの書籍です













2つ質問です。
いわゆるDDH症例ですよね。カップの設置は基本的にいつも通り。つまりカップCE、前方開角、外転角度は近年の推奨角度であって、後は深さのこだわりの問題ではないのでしょうか?
2つ目は、後方アプローチで理論的な話は抜きにして現実的に前方脱臼の経験はありますか?