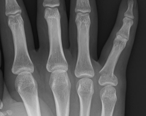
先日、小指の基節骨基部骨折の手術がありました。
この部位の骨折は尺背側に転位する傾向にあり、中・高生に多い印象を抱いています。
中・高生なのでできるだけ保存治療をしたいという思いがあり、昔はがんばって徒手整復を試みましたが、やはり満足のいく整復位を得ることはできないことが多いです。
このため最近では、牽引して整復位を獲得できないことが分かれば、あっさり手術をする方針に転換しています。今回の症例も牽引だけでは徒手整復できませんでした。
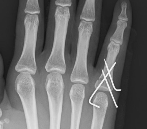
小指基節骨基部骨折で尺・背側転位している症例では、尺・背側から骨折に intrafocal pinningを刺入して整復しています。
麻酔下と言えども、小指を屈曲・橈側に牽引するだけでは整復できないからです。今回の症例では intrafocal pinningに加えてクロスピニングを施行しました。
透視下でも骨折部は安定していたので、疼痛自制内で自動運動を開始する予定です。昔は何度も外来で徒手整復を繰り返していましたが、患者さんにとっては手術の方が楽そうです。
このように、最近はできるだけ患者さんに疼痛を与えず、治療も省略化傾向にしています。この方針が良いのかどうかは分かりませんが...。
★★ 管理人お勧めの医学書 ★★
広島大学名誉教授の津下先生による、手の外科における必須の医学書です。特に、「私の手の外科」は津下先生直筆のイラストが豊富で、非常に分かりやすく実践的な医学書です。












