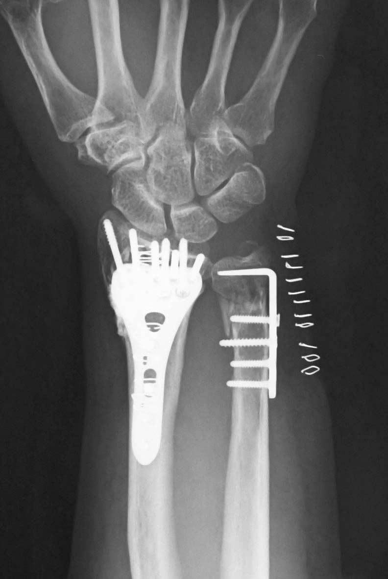
先日、橈尺骨遠位端骨折に対して骨折観血的手術を施行しました。下図のように、橈骨・尺骨とも非常に不安定性が強かったので、尺骨にも骨接合術を計画しました。
尺骨に使用する内固定材料のひとつとして、フックプレートがあります。今回使用したのは、HOYAが販売しているStellar 2のフックプレートです。
このプレートはロッキングですが、遠位部がフックになっていることが特徴です。橈骨遠位端骨折用のStellar 2のオプションとしての位置づけですが、こちらの方が有用です(笑)。
かなり粉砕した粗鬆骨だったので固定性が心配でしたが、さすがフックプレートだけあって、尺骨遠位端に関しても比較的しっかりした固定を得ることができました。
手術手技も非常に簡便で、ガイド越しに仮固定用のK-wireを刺入するだけで、あっという間に内固定が終了しました。コストパフォーマンスの高い手術だという印象です。
今回の症例のように、尺骨の遠位で骨折していて不安定性が高い場合には、フックプレートを使用することも、治療の選択肢のひとつではないかと感じました。
★★★ 管理人 お勧めの医学書 ★★★
整形外科医なら誰もが所有している骨折治療のバイブルです。豊富な図や画像が提示されており、骨折手術におけるAOの考え方や基本原則を学べます。











