日整会広報室ニュースをパラパラ見ていた時に医事紛争の連載に目が留まりました。
今回は、手術の左右間違いに関する話題でした。
事故自体は平成2年に発生した関節リウマチの指間違いでした。本来なら環指の手術をする予定だったのですが、誤って中指の手術を施行したようです。
連鎖記事の最後に、四肢の手術では患部のマーキングを絶対にするべきと締めくくられていました。私もまさにその通りだと思います。
最近では各医療機関での医療安全に対する意識が高まり、手術部位のマーキングは安全管理上の常識となっています。
脊椎に関しては、マーキングの効果は微妙ですが、少なくとも四肢に関してはマーキングが事故防止の大きな力になると思います。
フムフムと思いながら読了しましたが、ふと今回の症例は手指の間違いであることに気付きました。左右間違いではなく、手指の間違いなのです。。。
う~ん、これはマーキングが少し難しいかもしれません。もちろん、物理的には問題なくマーキングできるのですが、派手に描くと手術の妨げになりかねません。
もちろん、左右間違い以上に手指の間違いは発生しやすいのでマーキングは必須ですが、小さめに描く等の工夫が必要かもしれませんね。いやはや、難しい・・・
マーキング
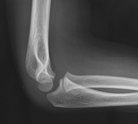
先日、小児の上腕骨外顆骨折の手術がありました。
上腕骨外顆骨折は、小児の骨折の中でも難易度の高い手術のひとつです。
手術が上手いくか否かは、手術前の段階から始まっています。一般的に肘周囲骨折では軟部組織が高度に腫脹します。このため、至適位置に皮膚切開を加えることが難しいです。
上図は正常例の肘関節側面像ですが、上腕骨顆部の肘頭窩部(8の字の中心部)を透視下にマーキングします。こうすることで正確な側面から骨折部にアプローチすることが可能となります。
通常、上腕骨外顆骨片は伸筋群に牽引されるので掌外側に転位しますす。このため、外顆骨片を触知して、その直上に皮膚切開を加えると前方過ぎることが多いのです。
小児の肘関節はとても小さいので、皮膚切開の位置がイマイチだと術中操作で苦労します。このため、手術を始める前からスムーズに終了するための闘いが始まっているのです。
整形外科医なら誰もが所有している骨折治療のバイブルです。豊富な図や画像が提示されており、骨折手術におけるAOの考え方や基本原則を学べます。
先日、大学から医師を招聘して手術を執刀していただきました。
同門なので普段から交流はありますが、一緒に手術に入る機会はあまりありません。
このため、興味深く手術手技を拝見させてもらいました。やはり同門医師といえども、私とは流儀が違います。皮膚切開前から「あっ」と思うことがありました。
通常、皮膚切開部に皮膚ペンでマーキングを行います。閉創の際に縫合部がずれないように、皮膚切開に直交するラインを1cm間隔で引き、円刃の背で軽くマーキングします。
こうすることで閉創の際にも創がずれなるので実践されいる方は多いと思います。しかし、今回の医師は円刃の背でマーキングした後に、もう一度皮膚ペンでラインを引いていました。
結構しつこく円刃の背でマーキングした部位に皮膚ペンでラインを引く姿に思わず笑いそうになりました。しかし、閉創の際に皮膚のマーキング部位がくっきりと確認できました。
従来の皮膚ペン後に円刃の背でマーキングするだけの場合と比べて、その後に皮膚ペンでラインをもう一度追加で引いた方が明らかにはっきりとマーキング部位を視認できます。
術野を洗浄するので、従来法ではマーキングが薄くなって部位が良く分からなくなることが多いです。しかし、この方法だと最後までマーキングがくっきり分かります。
つまらないことかもしれませんが、私はこの工夫に感心しました。早速、翌日の手術から実践させてもらいました。先日も述べたように多様性は重要だと思いました。
整形外科医なら誰もが所有している骨折治療のバイブルです。豊富な図や画像が提示されており、骨折手術におけるAOの考え方や基本原則を学べます。
最近は3Dテンプレートを利用できる医療機関が増えましたが、TKAでは3Dテンプレートに加えてフィルム上に骨切ラインや長管骨の軸をマーキングする方が望ましいです。
通常の鉛筆や色鉛筆を利用してフォルムにマーキングしても良いのですが、色が分かりにくいため術中の視認性が良くありません。そこでご紹介するのが下記の色鉛筆です。
この色鉛筆は、上司の先輩医師に教えてもらいました。医療用フィルムに特化しているわけではなく、一般のデザイナーさんも使用しているため安価に手に入るようです。
フィルムの上にでもしっかりマーキングすることが可能です。また、4種類の色のうち白色は視認性も良好なため、術中もばっちりマーキングの位置を確認することができます。
基本的には消耗品なので、10本ほどまとめて購入して使用するのが妥当だと思います。特に人工関節を頻繁に行う方にお勧めの一品です。
★★★ 管理人 お勧めの医学書 ★★★
初学者がTKAの治療体系を俯瞰するにあたり、最もお勧めの書籍です
人工膝関節置換術[TKA]のすべて-安全・確実な手術のために
最近、何故か人工膝関節全置換術(TKA)が多いです。
THAでは術前の体位設定の際にイメージで股関節が正確な正面になるように調整しています。
この方法は高価なナビゲーションを利用しなくてもイメージさえあれば施行できるので、カップを正確な角度で設置するのに安価で非常に有用な方法です。
一方、TKAの骨切りでは大腿骨よりも脛骨の骨切りの方が難しいと思います。ナビゲーションを導入せずとも安価に正確な骨切りする工夫はいくつかあります。
そのうちのひとつが下図のように術前に透視下に下腿軸をマーキングする方法だと思います。この方法もイメージさえあれば施行できるので、安価で有用な方法だと思います。
単に透視下に下腿軸をマーキングするだけなので、準備も非常に簡便です。術中はこの部分の皮膚をドレーピングして見えるようにしておきます。
脛骨骨切りの際には髄外ロッドがラインに平行になるように骨切りガイドを調整します。もちろん、ラインを100%信じているわけではなく、他の指標との総合評価で骨切りガイドを設置します。
しかし、腓骨の骨軸や脛骨稜などの指標よりも、皮膚の上に下腿軸をマーキングする方が分かりやすくて信頼できる(信頼できそうな)気がします。
★★★ 管理人 お勧めの医学書 ★★★
初学者がTKAの治療体系を俯瞰するにあたり、最もお勧めの書籍です
人工膝関節置換術[TKA]のすべて-安全・確実な手術のために
- 今日:
- 昨日:
- 累計:










