今日の午前は、橈骨遠位端骨折に対する関節内骨折観血的手術でした。
この方は、なんと御歳95歳(!)の方でした。
10日前に転倒して右手を付いて受傷されたのですが、単純X線像でかなり粉砕した骨折でした。骨折型だけを考えると手術適応なのですが、超高齢者なのでギプス治療を選択しました。
しかし、受傷後1週間で再診してもらうと、単純X線像で高度の短縮と再転位を認めました。これは話にならないなと思いながら、「保存治療の限界です」という状況説明をしました。
家人(お孫さん=40歳台)と一緒に話を聞いていただきました。利き手の機能が著しく障害される可能性が高いことを説明すると、ナント手術を希望されるではないですか!
私は医師の説明義務に則って、保存治療では著しい機能障害を残す可能性が高いと申し上げただけで、決して手術治療を勧めたわけではありません・・・。
しかし、話しぶり・理解力ともしっかりしており、自分の意志で手術を希望されました。ならば仕方無いと術前検査を施行したところ、ほとんど異常所見が無いという驚異的な結果でした。
帰宅の際に、この方とお孫さんの歩いている姿を見かけました。後ろ姿だったのですが、お孫さんと同じペースで背筋を伸ばして杖も使用せず普通に歩いています。
どこからどうみても95歳の歩容には見えません。この方は、文字通り”生”のスーパーエリートであることを理解しました。手術は掌側プレートを使用して問題無く終了しました。
今回のようなケースはめったに無いことでしょうが、年齢だけで治療方針を決定してはいけないことを認識するきっかけになりそうです。
★★★ 管理人 お勧めの医学書 ★★★
整形外科医なら誰もが所有している骨折治療のバイブルです。豊富な図や画像が提示されており、骨折手術におけるAOの考え方や基本原則を学べます。
AO法骨折治療
手術
昨日の午後は、大腿骨転子部骨折に対して骨折観血的手術を施行しました。
今回は入院後2日目での手術で、やや遅めでした。
さて、いつものごとく大腿骨近位部骨折用のshort nailを使用しましたが、ちょっとしたピットフォールに陥りました。まずは下の画像をご覧ください。
一見、何の問題も無さそうですが、実は、lag screwの尾側が大腿骨外側皮質から約5mmほど出ています。ちなみにこの両股関節正面像では、そのことを確認することはできません。
lag screwをよく観察するとやや大腿骨頚部前捻角の分だけ回旋しています。つまりlag screwをやや斜めから見ていることになるので、このアングルからは至適な長さなのです。
しかし、実際にはlag screwの正面像で見ると、lag screwの尾側が大腿骨外側皮質から約5mmほど出ていたのです。最後の術中イメージの確認でこのことに気付きましたが時既に遅しです。
術中のイメージでは、この画像の角度でスリーブが大腿骨外側皮質に接しているように見えたので、実際の長さよりも約5mm長いscrewを選択してしまいました。
今回のピットフォールで、術中イメージの画像だけではなく実際にスリーブが大腿骨外側皮質骨に接触している感覚を得るまでスリーブを挿入するべきだということを学びました。
tensor fascia lata等が邪魔をしてスリーブを挿入しづらいことが多々ありますが、やはりlag screwの計測は一番大事なところなので、しっかり皮質骨に当たるまで挿入するべきですね・・・。
★★★ 管理人 お勧めの医学書 ★★★
整形外科医なら誰もが所有している骨折治療のバイブルです。豊富な図や画像が提示されており、骨折手術におけるAOの考え方や基本原則を学べます。
AO法骨折治療
Medical Tribune 2014年1月23日号に興味深い記事がありました。「医療機関における環境管理」です。以下、Medical Tribuneからの転載です。
-----------------------------------------------------------------------------
NTT東日本関東病院外科部長・手術部長
針原 康 氏
手術時手洗いの目的は,片手当たり105〜106個程度の細菌数を102〜103個程度に減少させることにあります。この目的は滅菌水でなくとも水道水で達成が十分に可能です。実際,手術時手洗い後の手指残菌数の検討で滅菌水と水道水で差がないと指摘されています。
2005年2月の厚生労働省の省令改正により,手術時手洗いの設備は従来求められていた滅菌水による手洗い設備は必要とせず,水道水でもよいこととなりました。
ただし,手洗い設備は常時清潔に保たれるようにするとともに,手洗い設備に供給される水道水も定期的に残留塩素濃度を測定するなど適切な管理が必要とされています。
以下、中略
手術時の手洗い法として従来のブラシを用いるスクラブ法に対し,擦式消毒用アルコール製剤を十分に擦り込むラビング法が普及しつつあります。
米疾病対策センター(CDC)による手指衛生のためのガイドラインでは,手術時手洗い時の使用薬剤として①皮膚常在菌を十分に減少させる②低刺激性である③広範囲の抗菌活性を持つ④即効性,持続効果がある—ことが推奨されています。
ラビング法に使用されるクロルヘキシジンを含むアルコール製剤には,アルコール製剤の即効性とともにクロルヘキシジンの持続効果(残留活性)が期待されています。
両法の間で手術部位感染(SSI)の発生率を比較したフランスのランダム化比較試験(RCT)では,SSI発生率はスクラブ法2.48%,ラビング法2.44%と有意差がないと指摘されています。
-----------------------------------------------------------------------------
結論的には下記のごとくです。
① 術時手洗い後の手指残菌数の検討で滅菌水と水道水で差がない
② スクラブ法とラビング法の間で手術部位感染(SSI)の発生率に有意差は無い
ラビング法は手荒れが少なくなるので、手術が多い整形外科医としては助かります。私も基本的にはラビング法ですが、手指先端のみブラシを使用しています。
尚、従来の滅菌水に変えて水道水を導入する際には、手洗い設備に供給される水道水の定期的な残留塩素濃度測定などの適切な管理が必須です。
★★★ 管理人 お勧めの医学書 ★★★
整形外科医なら誰もが所有している骨折治療のバイブルです。豊富な図や画像が提示されており、骨折手術におけるAOの考え方や基本原則を学べます。
AO法骨折治療
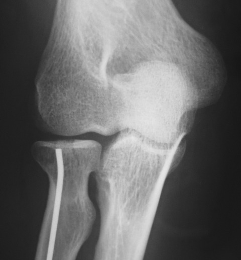
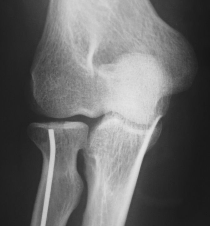
今日の午後は橈骨頭骨折の手術を行いました。単純X線像では分かりにくいのですが、CTを再構成した前額断像では関節面中央のみが陥没しているタイプの骨折でした。

比較的橈骨頚部の連続性は保たれていたので、橈骨頚部骨折と同様のK-wireを用いた整復・固定術を施行しました。今回使用したK-wireは2.0mmです。
まず、橈骨茎状突起先端の直上に約1cmの切開を加えて皮下を鈍的に剥離して橈骨茎状突起部を展開しました。橈骨神経浅枝損傷を避けるためにエアターニケットを使用します。
2.0 K-wireで皮質骨を開窓してから一旦抜去します。K-wireのお尻側の先が鈍な方を先頭にして、再度橈骨内に刺入します。この時にK-wireの先端を僅かに曲げておきます。
ハンマーで叩打しながら橈骨内を中枢方向に進めていきます。橈骨骨幹部を過ぎると急に抵抗が無くなり、あっという間に橈骨頚部に到達するので叩き過ぎに注意します。
橈骨頚部に到達した時点で、先ほど曲げたK-wire先端の方向を微調整します。橈骨茎状突起部のK-wireの断端は皮下に埋没しました。橈骨神経浅枝に接触しないように位置を調整します。
今日の手術も10分程度で終了しました。低侵襲なのに得られるメリットが大きいので良い手術だと思います。
★★★ 管理人 お勧めの医学書 ★★★
整形外科医なら誰もが所有している骨折治療のバイブルです。豊富な図や画像が提示されており、骨折手術におけるAOの考え方や基本原則を学べます。
AO法骨折治療
Medical Tribune 2014年1月23日号に興味深い記事がありました。「皮膚閉鎖,被覆材の扱いなど創傷管理のスキルアップに向けて」です。以下、Medical Tribuneからの転載です。
-----------------------------------------------------------------------------
第26回日本外科感染症学会総会学術集会(2013年11月25〜26日,会長=兵庫医科大学教授・竹末芳生氏)の教育委員会企画プログラム「創傷管理の標準化」(プレゼンター=広島大学病院感染症科教授・大毛宏喜氏)
-----------------------------------------------------------------------------
2013年の整形外科手術(清潔手術)施行190例を対象としたRCTでは,創関連合併症は両群で有意差はなく,skin stapler群は所要時間が短かったが,抜鈎に伴う疼痛の訴えが多かった。国内の1,080例を対象とした多施設共同RCTでは,全ての手術における表層SSI発生率は縫合群とskin stapler群との間で有意差がなかった。
以下、中略
術直後に使用する被覆材については,1950年以前ではガーゼで出血や滲出液を吸収し,創を乾燥させることにより菌の定着を防ぐのが中心であったが,50年前後からは創を被覆材で密封することで外部からの菌汚染を防ぎ,適度な湿潤環境にすることで創傷治癒を促す管理が望まれるようになったという。
使用している被覆材をフロアに聞いたところ,パッド付き被覆材(密封被覆)が47%と半数近く,ハイドロコロイド被覆材が21%,フィルムのみの被覆材(密封被覆)が19%,ガーゼが10%であった。RCT 13件のシステマチックレビューによると,SSI発生率,創傷治癒・在院日数に差がなく,ガーゼは安価であるが交換に時間を要し,疼痛を伴うので患者満足度は低かったという。
以下、中略
被覆材の除去時期については,創の上皮化が完成する48時間を境に意見が分かれている。フロアに,除去時期について聞いた結果,術後2日目(48時間以内)が33%に対し3日目(48時間以降)27%,抜糸の際17%,4日以降15%,術翌日8%であった。
2013年に清潔手術と準清潔手術を対象としたRCT4件240例に関して,被覆材の除去時期を術後48時間以内と以降で検討したシステマチックレビューが報告され,表層SSI発生率,創離開のいずれも両群間で有意差がなかったが,症例数が少ないことが指摘されている。
-----------------------------------------------------------------------------
結論的には下記のごとくです。
① 表層SSI発生率は縫合群とskin stapler群との間で有意差がなかった
② 表層SSI発生率・創傷治癒・在院日数は被覆材間で有意差がなかった
③ 表層SSI発生率・創離開は被覆材の除去時期で有意差がなかった
要約すると整形外科手術では、どんな縫合法や被覆法でも術後48時間以降に除去するのなら
表層SSI発生率などの有害事象の発生率に有意差が無いとのことです。
一整形外科医としてはこの報告に勇気付けられるとともに、人的・経済的コストをトータルに考慮して最も安価な方法を選択したいと思います。
整形外科のような清潔手術がメインの科では、skin staplerでの縫合+術後48時間でのガーゼ除去がベストチョイスかなと思っています。
★★★ 管理人 お勧めの医学書 ★★★
整形外科医なら誰もが所有している骨折治療のバイブルです。豊富な図や画像が提示されており、骨折手術におけるAOの考え方や基本原則を学べます。
AO法骨折治療
- 今日:
- 昨日:
- 累計:












