高尿酸血症の治療で調べる機会がありました。
尿酸値がコントロールされている症例でも、痛風結節が残存していることは多いです。
周知のように痛風結節は、尿酸塩結晶と肉芽組織から形成されています。一度組織に沈着した尿酸塩はなかなか消退しません。
しかも、整形外科的には痛風結節が自壊すると結構厄介な状況になります。自壊部が潰瘍化すると感染を併発して難治性となります。
腱周囲にできることも多く、本当に厄介な存在です。そして本日のお題ですが、痛風結節は高尿酸血症の治療を続けていると治癒するのでしょうか?
日常的に多数の高尿酸血症患者さんを診ていますが、あまり痛風結節には注意を払っていません...。高尿酸血症・痛風の治療ガイドラインを紐解くと回答がありました!
長期間にわたって尿酸値を5.0mg/dL以下にしていると、徐々に痛風結節は縮小していくようです。なるほど、それなら高尿酸血症の治療のし甲斐があるというものですね!
痛風
先日の外来で、50歳台女性が母趾基部の疼痛を主訴に初診されました。診察すると母趾基部の腫脹・発赤・圧痛を認めます。外傷歴はありません。
女性であることが引っかかりましたが、まず痛風発作を疑いました。血液生化学検査ではUA 6.7mg/dlでした。痛風発作中はUAが下がりがちなので、合点のいく数字でした。
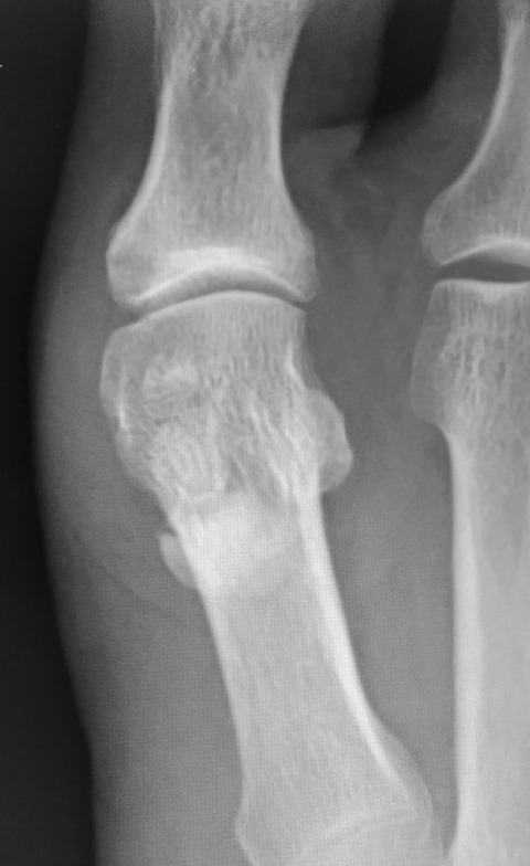
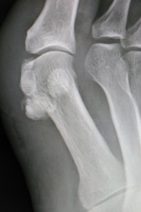
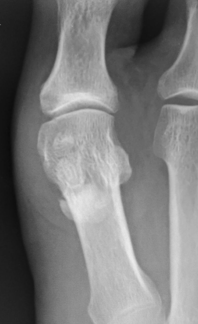
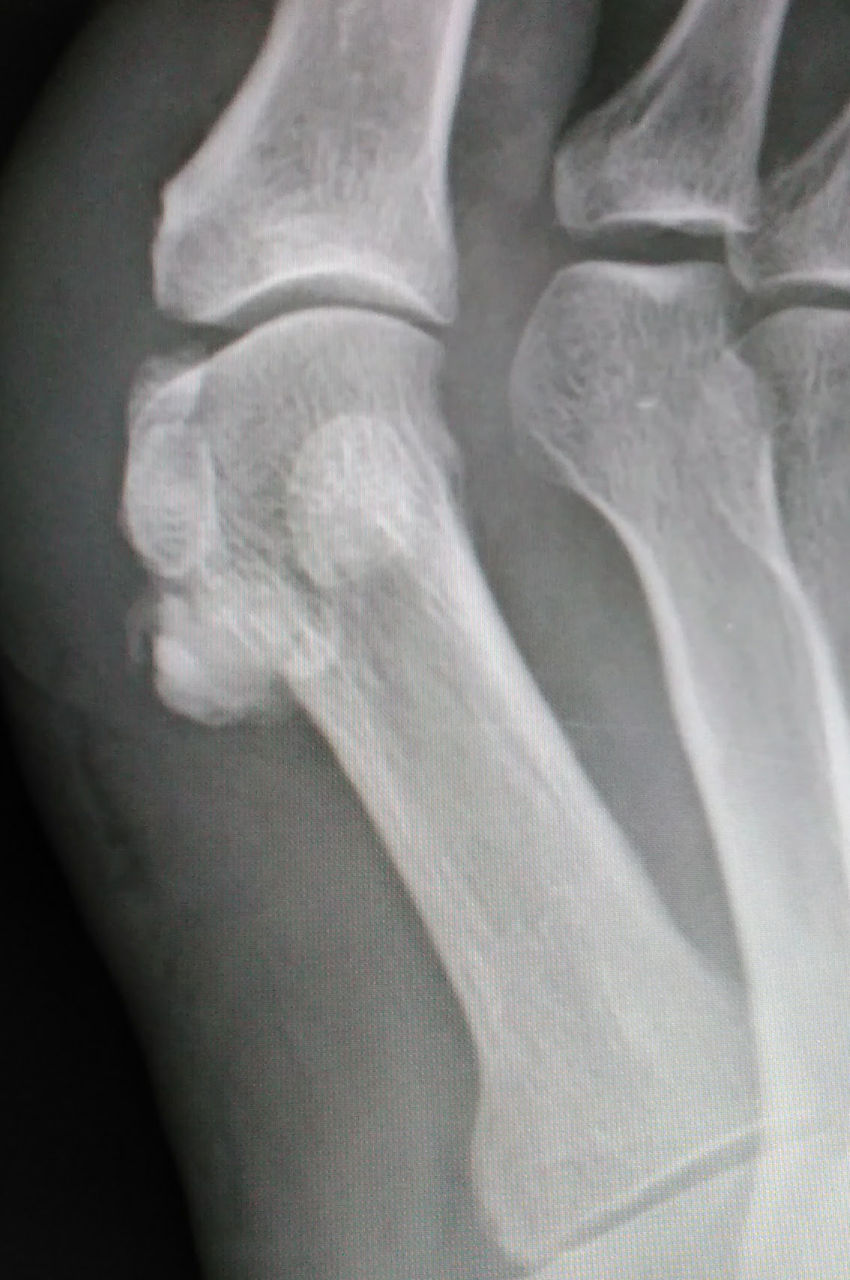
何の疑いもなく「痛風ですね」と言いそうになって、単純X線像を見てハッと息を飲みました。それが下の画像です。
正面像で2つの種子骨の下に何かクルミのような像を認めます。ただ、正面像では正直に言って見逃しかけました。
しかし、斜位像では、種子骨よりも中枢側にはっきりとした石灰沈着象を認めます。これは、痛風ではないかもしれない・・・。
身体所見では、母趾MTP関節を背側から触っても圧痛はないようです。ただし、MTP関節足底側のやや中枢側に激烈な圧痛点があります。
足部の側面像を撮影して、確定診断にいたりました。長母趾屈筋腱に発生した石灰沈着性腱炎です。う~ん、痛風発作と非常に紛らわしい。
しかし、これを誤診してしまうと、長期間に渡る高尿酸血症の治療を開始してしまう危険性があります。たまたま気付いてラッキーでした。。。
痛風なのかその他の炎症性疾患なのかの診断が難しいケースにときどき遭遇します。痛風発作の際には尿酸値が低下していることがあるため、尿酸値も参考にしかなりません。
そのような際にエコーを用いて関節内を観察すると、痛風か否かの診断が可能なことが多いです。痛風発作の際には、関節内に尿酸ナトリウム塩結晶が沈着します。
無エコー像の硝子軟骨の深層に軟骨下骨皮質が高エコー線状像として観察され、硝子軟骨表層に沈着した尿酸ナトリウム塩結晶も高エコー線状像として観察されます。
硝子軟骨を挟んで深層に軟骨下骨皮質・表層に沈着した尿酸ナトリウム塩結晶がそれぞれ高エコー線状像を形成する所見をdouble contour signと言います(下図の矢印)。

( 東京女子医科大学附属膠原病リウマチ痛風センター 瀬戸洋平先生の リウマチ科外来における関節超音波検査の有用性 から抜粋 )
double contour signは、尿酸ナトリウム塩結晶が沈着する痛風発作に特異的な所見です。そして、痛風の診断で有用なだけではなく、高尿酸血症の治療効果の判定にも有用です。
関節内の尿酸ナトリウム塩結晶は、血清尿酸値を6mg/dl以下に抑えることで徐々に消失します。血清尿酸値では結晶消失を直接確認できませんが、エコーを用いることで観察可能です。
経時的に関節内尿酸ナトリウム塩結晶沈着を示すdouble contour signを観察することにより、安定期における高尿酸血症の治療効果の判定にも有用なのです。
★★★ 管理人 お勧めの医学書 ★★★
初学者が関節リウマチの治療体系を俯瞰するにあたり、最もお勧めの書籍です
関節リウマチ治療実践バイブル
Medical Tribune 2014年3月6日号に興味深い記事がありました。
「ソフトドリンクは高尿酸血症の危険因子」です。以下、Medical Tribuneからの転載です。
-----------------------------------------------------------------------------
高尿酸血症・痛風は日々の生活習慣が大きく関係する疾患で,特に飲酒や肥満が主な危険因子であることは広く知られている。近年,果糖の摂取と尿酸値上昇との関連性が指摘されている。聖路加国際病院クリニック予防医療センター管理栄養士の小倉祐紀子氏は「ソフトドリンクの摂取は高尿酸血症の危険因子である」と報告した。
果糖は肝臓の酵素(フルクトキナーゼ)によって代謝され,フルクトース-1-リン酸になるが,その際,ATPからリン酸を奪うためATPの分解が進み,その結果最終代謝産物として尿酸値が上昇する。一般にソフトドリンクに含まれる純粋な果汁は少ないが,果糖ブドウ糖液糖という異性化液糖(ブドウ糖の5割以上を果糖に変えたブドウ糖と果糖の混合液糖)として含まれている。
例えば,ある果実色飲料500mLには果糖が32〜57.6g含まれており,一方果物ではりんご1個(250g)当たり20.2g,みかん1個(100g)当たり4.2gである。ソフトドリンクの摂取は,異性化液糖として大量の果糖を一気に摂取することとなり,尿酸値上昇につながると考えられる。
小倉氏らは,同院の人間ドック受診者のうち,高血圧,脂質異常症,糖代謝異常,高尿酸血症・痛風の薬剤加療中の者を除く3万2,170人〔男性1万4,027人(平均年齢49.5±11.6歳),女性1万8,143人(同48.7±10.8歳)〕を対象として,血液生化学・尿検査値および生活習慣問診から得られた結果を基に,ソフトドリンク摂取量と尿酸値との関係について横断研究を行った。
スポーツ飲料を含むジュース,果汁・野菜ジュース・炭酸飲料の合計を1日のソフトドリンク摂取量として計算した。ソフトドリンク摂取量と尿酸値の間には正の相関が認められ,重回帰分析では性(男性),年齢,体重,血清クレアチニン,尿pH,アルコール摂取量に加えソフトドリンク摂取量が尿酸値上昇に関わる独立した危険因子であることが示された。
同氏は「今回の研究から,果糖を含むソフトドリンクは高尿酸血症に関する独立した危険因子であることが示された」と結論付けた。
-----------------------------------------------------------------------------
外来で高尿酸血症の患者さんの治療を行う機会は非常に多いですが、現実的な食事療法の柱はカロリー制限および飲酒制限だと考えていました。
高尿酸血症・痛風の治療ガイドラインでは「1日のプリン体摂取量が400mgを超えないように高プリン食を控える」とありますが、現実的には実行困難なことが多いからです。
しかし、カロリー制限および飲酒制限だけではなく、果糖を含むソフトドリンクも制限するべきであることは勉強になりました。明日からの外来で活用したいと思います。
★★★ 管理人 お勧めの医学書 ★★★
一般的で使用頻度の高い、鎮痛薬・睡眠剤・感冒薬・胃薬・止痢薬・去痰薬・便秘薬等の薬剤が、全13章にわたって系統立てて書かれています。それぞれの章の最初に、薬剤の分類図が記載されています。各系統間の薬剤の使い分けも平易な文章で書かれており実践的な書籍です。
症状と患者背景にあわせた頻用薬の使い分け―経験とエビデンスに基づく適切な処方
姉妹本に『類似薬の使い分け』があります。こちらは全15章からなり、降圧剤、抗不整脈薬、狭心症治療薬、脂質異常症治療薬、糖尿病治療薬、消化性潰瘍治療薬、鎮咳薬、皮膚科疾患治療薬、抗菌薬などが1章ずつ割り当てられています。
類似薬の使い分け―症状に合った薬の選び方とその根拠がわかる
今日の午前は外来でした。
2週間前から誘因なく膝前面の痛みが出現して、痛みが続くという40歳台男性が受診されました。
大腿四頭筋の膝蓋骨停止部に一致して軽度の腫脹・熱感・圧痛・発赤を認めました。単純X線像では石灰化等の異常所見を認めませんでした。
発症時に他院の整形外科を受診したところ、蜂窩織炎を疑われて抗生剤を3日分投与されたそうです。その時の採血結果を持参されており、WBC/CRP 11000/5.1mg/dlでした。
しかし興味深いことに尿酸値(UA)も高値で8.2mg/dlありました。念のため本日も採血して血液生化学データを確認するとWBC/CRP 8000/1.1mg/dlと軽快していましたがUA 9.3mg/dlでした。
経過や検査結果からは痛風発作である可能性が濃厚となりました。一般的には下肢の関節に発症するケースがほとんどですが、ときどき今回のように腱の骨停止部に発症することがあります。
私自身も大腿四頭筋の膝蓋骨停止部の痛風発作は初めて診ましたが、アキレス腱停止部の痛風発作があるくらいなので大腿四頭筋に起こっても不思議ではないと思います。
痛風といえども個人差が大きく、診断するだけでも難しいケースがあることを痛感しました。
★★★ 管理人 お勧めの医学書 ★★★
骨粗鬆症と高尿酸血症のガイドラインです。エビデンスに基づいた治療指針を学べます。
骨粗鬆症の予防と治療ガイドライン〈2011年版〉
高尿酸血症・痛風の治療ガイドライン 第2版
- 今日:
- 昨日:
- 累計:











