8歳児がボールで遊んでいる際に、小指をボールが当たったとのことで受診されました。
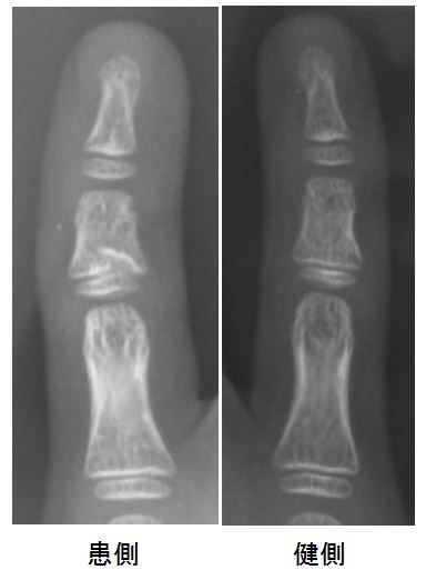
診察すると小指のPIP関節が腫脹しており、単純X線像は下記のごとくでした。

中節骨近位骨幹端が末梢方向に陥没しているようです。側面像でも掌側に小骨片を認めたことから、PIP関節捻挫ではなく中節骨近位骨端離開と判断しました。
しかし、未だかつてこのような画像所見を見たことがありません。詳細な受傷機転が不明のため何とも言えないのですが、消去法的に考えるとSalter-Harris type 5である可能性が高いです。
PIP関節面の不整が無いため、中節骨近位骨幹端は陥没(?)しているものの、このまま外固定で経過観察せざるを得ないと判断しました。
仮に陥没した骨幹端を経皮的に整復できても、成長軟骨損傷は残存するからです。将来的には小指の変形を併発する可能性があることをご両親に説明申し上げました。
豊富な図や画像が提示されているため、ほとんどの骨折や脱臼に対応することが可能です














